Partial Knee Replacement

Partial Knee Replacement Surgery specialist - Dr. Ameya Katariya

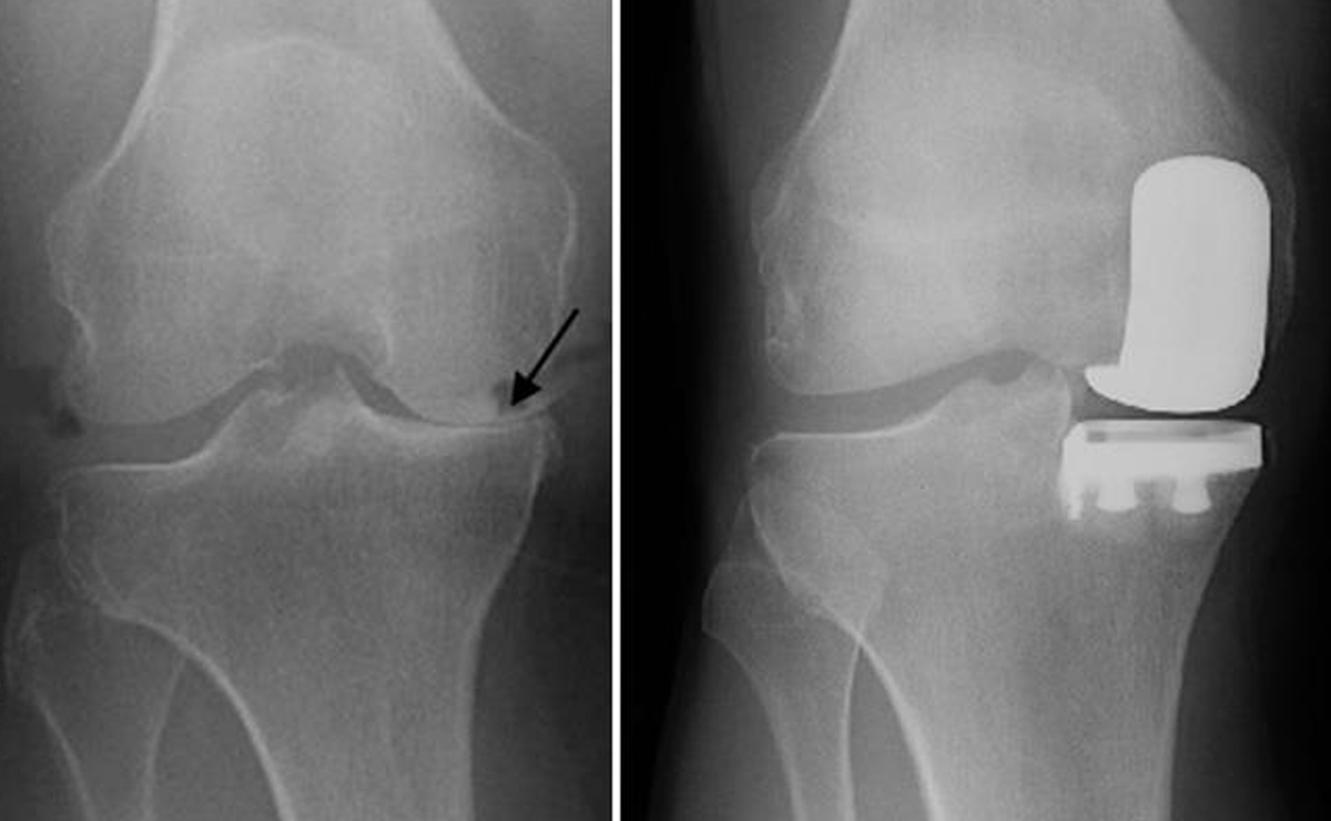
Partial Knee Replacement is a surgical option for patients in whom arthritis or damage is confined to only one compartment of the knee joint—most commonly the inner (medial) side. Unlike total knee replacement, this procedure preserves healthy bone, cartilage, and ligaments while replacing only the damaged portion of the knee with an artificial implant. Because the healthy structures of the knee are retained, patients often experience more natural knee movement after surgery.

This procedure is ideal for selected patients who have localized knee pain, good knee stability, and minimal deformity. Partial knee replacement involves a smaller incision, less tissue disruption, reduced blood loss, and faster recovery compared to total knee replacement. Patients often experience less post-operative pain and can return to daily activities more quickly. With proper patient selection and rehabilitation, partial knee replacement offers excellent pain relief, improved mobility, and long-term functional benefits.

Dr. Ameya Katariya, a Consultant Orthopaedic Surgeon with expertise in Partial Knee Replacement, knee preservation procedures, and Robotic Joint Replacement, provides specialized orthopaedic services in Pune. His patient-centric approach ensures precise treatment, faster recovery, and improved knee function.